Researchers discover new kind of brain tumour

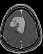
MRI image of brain tumourDr. John Woulfe and his colleagues have identified a new kind of brain tumour. It was removed during a young woman's treatment, and did not match any existing tumour classifications. The team found that the tumour expressed a never-before-seen fusion gene, made up of the MN1 gene fused to the KMT2A gene. Fusion genes can contribute to cancer by disrupting the regulation of cell growth and death, although more research is needed on this particular fusion gene. "We hope researchers and healthcare providers will keep an eye out for this kind of tumour," said Dr. Woulfe. "The more examples we can find, the better we will be able to understand how the tumours behave and how best to treat them." This novel fusion genes could also be a target for developing future cancer therapies.   

Authors: Suzan Chen, Brendan C Dickson, Safraz Mohammed, Kenneth Aldape, David Swanson, Josee Coulombe, Nader Zakhari, Shirin Karimi, Farshad Nassiri, Gelareh Zadeh, Yasin Mamatjan, Tao Wang,  Bryan Lo, John Woulfe

Source: Neuro-Oncology

Core resources: Molecular Oncology Diagnostics Laboratory

Research at The Ottawa Hospital is possible because of generous donations to The Ottawa Hospital Foundation. 

The Ottawa Hospital: Inspired by research. Driven by compassion 

The Ottawa Hospital is one of Canada's largest learning and research hospitals with over 1,100 beds, approximately 12,000 staff and an annual budget of over $1.2 billion. Our focus on research and learning helps us develop new and innovative ways to treat patients and improve care. As a multi-campus hospital, affiliated with the University of Ottawa, we deliver specialized care to the Eastern Ontario region, but our techniques and research discoveries are adopted around the world. We engage the community at all levels to support our vision for better patient care. See www.ohri.ca for more information about research at The Ottawa Hospital.

University of Ottawa: --A crossroads of cultures and ideas

The University of Ottawa is home to over 50,000 students, faculty and staff, who live, work and study in both French and English. Our campus is a crossroads of cultures and ideas, where bold minds come together to inspire game-changing ideas. We are one of Canada's top 10 research universities--our professors and researchers explore new approaches to today's challenges. One of a handful of Canadian universities ranked among the top 200 in the world, we attract exceptional thinkers and welcome diverse perspectives from across the globe. www.uottawa.ca

Media Contact

Amelia Buchanan
Senior Communication Specialist
Ottawa Hospital Research Institute
Office: 613-798-5555 x 73687
Cell: 613-297-8315
ambuchanan@ohri.ca


Learn more about:

The Ottawa Hospital is a leading academic health, research and learning hospital proudly affiliated with the University of Ottawa and supported by The Ottawa Hospital Foundation.